Recent Blogs
Stay Updated with the Latest Developments at Burjeel Medical City
Our Recent Blogs.
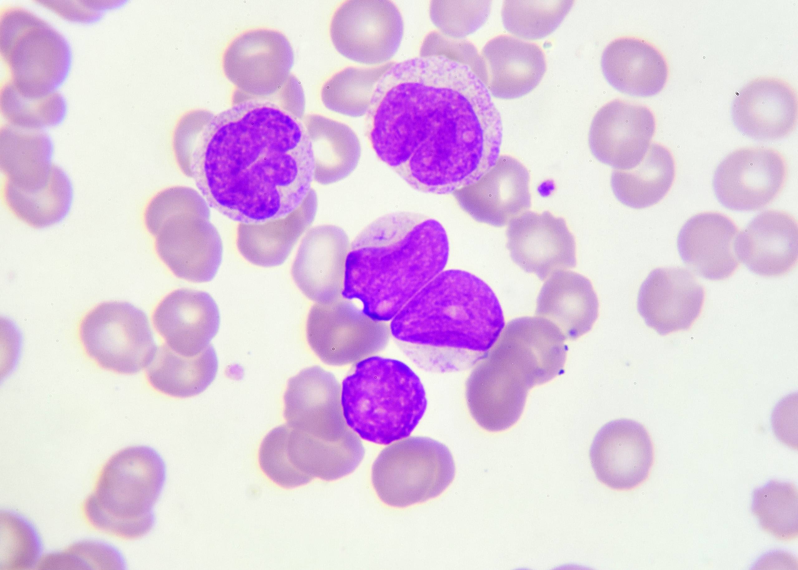
Leukemia – Symptoms, Causes, Diagnosis & Treatment
Leukemia is a type of cancer that affects the blood. It can
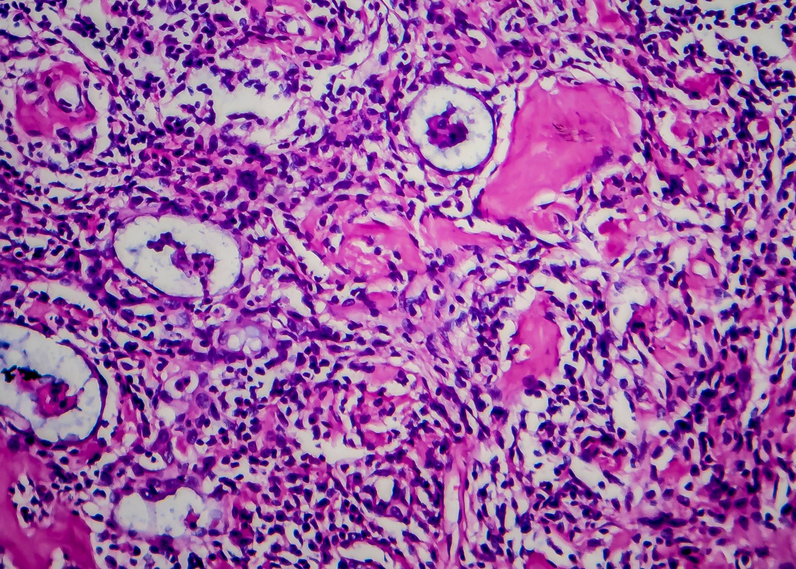
Lymphoma – Symptoms, Causes & Treatment
Lymphoma is a cancer of the lymphatic system, which consists of a
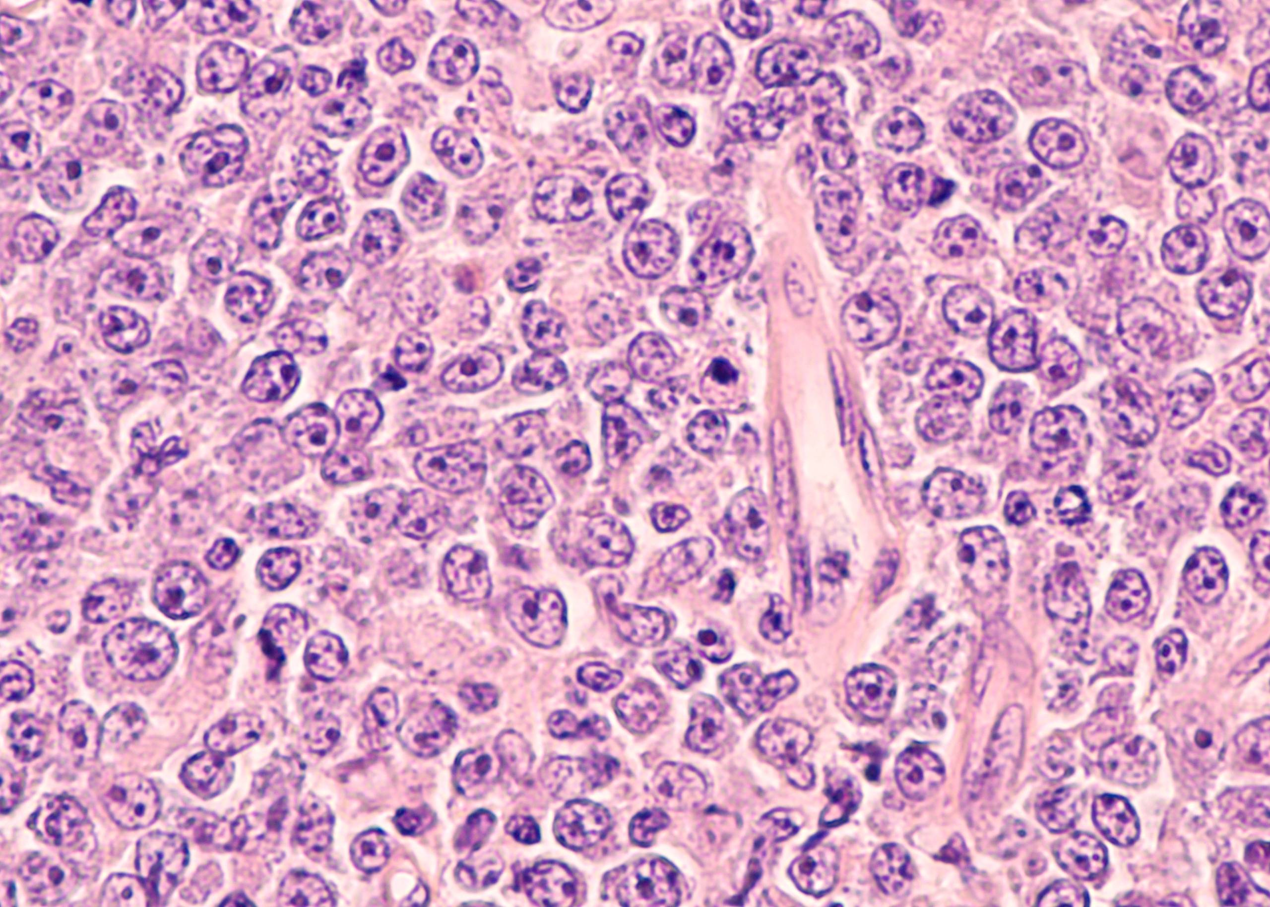
Multiple Myeloma – Symptoms, Causes & Treatment
Multiple myeloma is a type of cancer that develops in the bone
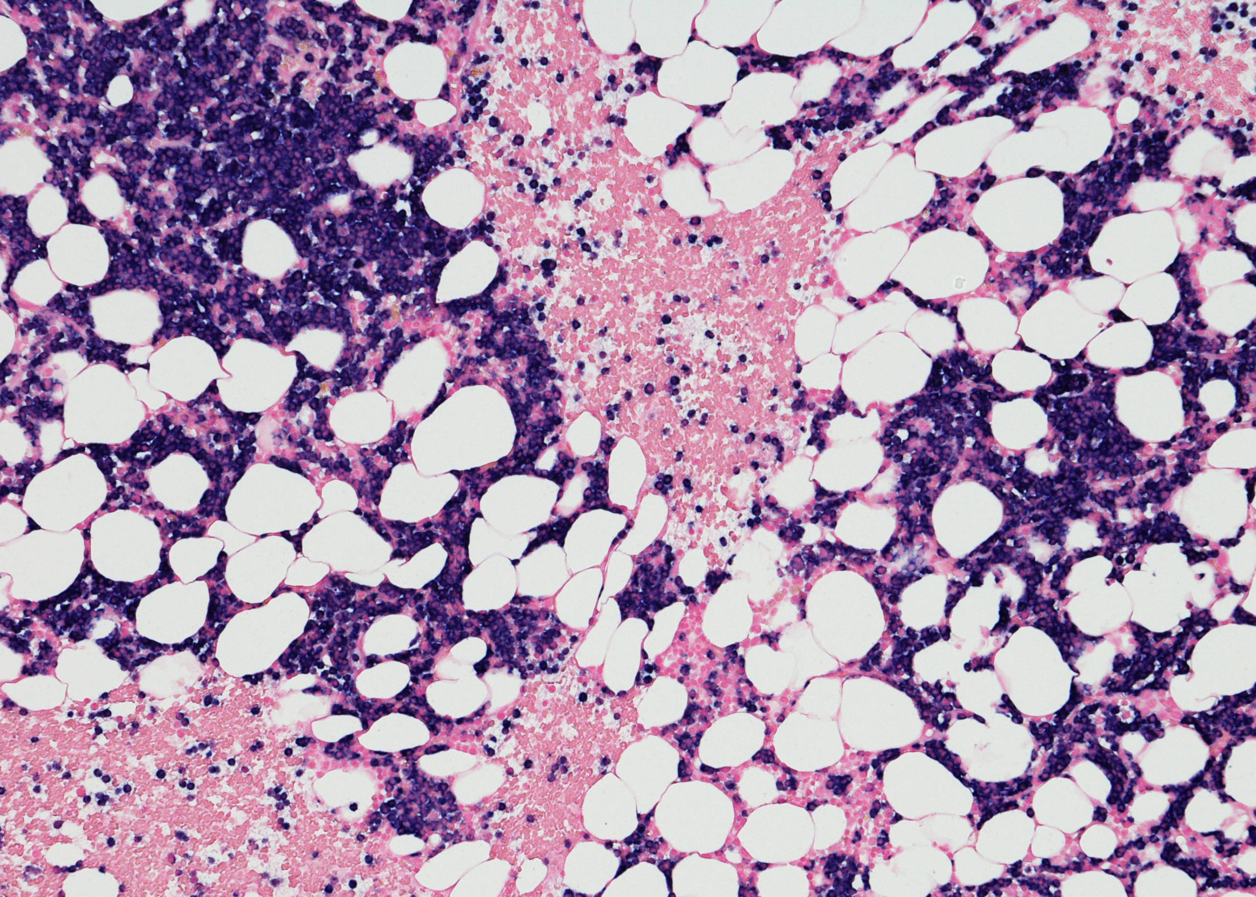
Myelodysplastic Syndromes – Symptoms, Causes & Treatment
Myelodysplastic syndromes (MDS) are a group of conditions that affect the blood
Hodgkin Lymphoma – Symptoms, Causes & Treatment
Hodgkin lymphoma is a cancer of the lymphatic system. The lymphatic system
Liver Cancer – Symptoms, Causes & Treatment
Liver cancer is a disease in which malignant (cancerous) cells form in
Lung Cancer – Symptoms, Causes & Treatment
Lung cancer occurs when abnormal cells in the lungs divide uncontrollably and
Detecting Early Symptoms of Breast Cancer: A Guide for Women
Breast cancer is one of the most common cancers affecting women globally.
- 1
- 2